Más de 999+ Imagen fresca

Carcinoma Renal De Celulas Claras Macroscopia

Colposcopia E Tratamento Da Neoplasia Intra Epitelial Cervical Manual Para Principiantes

Carcinoma Renal De Celulas Claras Metastasico A La Base De La Lengua Y Al Musculo Biceps Braquial Gaceta Mexicana De Oncologia

Tumores Renais Patologia Robbins Patologia I 2

Concurrent Occurrence Of Three Primary Neoplasms With Different Hystotype In The Same Kidney Associated With An Adenoma Of The Omolateral Adrenal Gland First Case Report Morelli 06 International Journal

Urinario Transcricao Da Aula De Patologia Do Curso De Medicina Da Universidade Positivo Studocu

Antigo Saude Gov Br Images Pdf Fevereiro 17 Ipilimumabe Associado A Nivolumabe Nota T Cnica N 5418 19 Cgjud Se Gab Se Ms Pdf

INTRODUCTION Renal cell carcinomas (RCCs) are the seventh most common histological type of cancer in the Western world and have maintained an increasing prevalence ( 1 , 2 ), representing 1% to 3% of all malignant visceral neoplasms Approximately 40% of patients with RCC die because of the disease progression, thus this tumor is the most lethal malignant urological tumor.

Carcinoma renal de celulas claras macroscopia. Durante la ablación por radiofrecuencia, se inserta una sonda especial a través de la piel y dentro del tumor renal con la ayuda de un ecógrafo u otras pruebas por imágenes para guiar la colocación de la sonda Una corriente eléctrica corre a través de la aguja hacia las células cancerosas, lo que provoca que estas se calienten o se quemen. CARCINOMA RENAL DE CELULAS CLARAS ESPORÁDICO Es el carcinoma renal más frecuente y su incidencia está aumentando en los últimos años 9, 10 Aproximadamente el 70 a 75% de los cánceres renales son carcinomas de células claras esporádicos Afecta más frecuentemente a varones de raza negra y en general por encima de los 40 años de edad. Carcinoma de células renales de tipo células claras Esta es la forma más común del carcinoma de células renales Aproximadamente 7 de cada 10 personas con carcinoma de células renales tiene este tipo de cáncer Cuando se examinan en el laboratorio, las células que conforman el carcinoma renal de células claras lucen muy pálidas o claras.

El carcinoma de células renales (CCR) representa 2% de todos los cánceres Desde el punto de vista histopatológico, el tipo más frecuente es el de células claras que representa 85% del total de CCR La forma de presentación incluye la hematuria, dolor abdominal y masa palpable, tríada presente en 10% de los pacientes. El carcinoma de células renales (CCR) es una neoplasia maligna que surge del parénquima/corteza renal El CCR de células renales claras es responsable de la mayoría (más del 80%) de las neoplasias renales malignas primarias La incidencia crece con la migración hacia un diagnóstico en etapa tempr. O carcinoma de células claras é o tipo de câncer mais comum dos rins, sendo responsável por mais de 90% dos casos O câncer renal costuma ser uma doença assintomática nas fases iniciais, o que faz com que 1 em cada 4 pacientes só descubra o tumor em fases muito avançadas, já sem possibilidade de tratamento com intuito de cura.

ADENOCARCINOMARENAL CARACTERISTICAS Representa el 28% de los canceres en adultos 85% de todos los tumores renales cancerosos primarios Se originan en el epitelio tubular renal proximal Aumento de la incidencia en las ultimas décadas Mayor incidencia a los 5070 años , Relación HM de 21 Mayor incidencia en hombres de color, Menor. Renal lesions renal cysts and clear cell renal cell carcinoma (Clear cell renal cell carcinoma) Associated with bilateral or multiple renal cell carcinomas in 50% (eMedicine Von HippelLindau Syndrome) Other organs hemangioblastomas of cerebellum and retina, cysts of pancreas, liver. Las variantes menos frecuentes como el carcinoma renal medular o el carcinoma de células claras variante sarcomatoide son más agresivos y tienen peor pronóstico También se ha visto que cuanto mayor sea el grado tumoral, es decir, el número de células cancerosas, el pronóstico es peor Factores clínicos La presencia de síntomas.

El sistema de estadificación para el cáncer de células renales se basa en el grado de diseminación del tumor por fuera del riñón13 El compromiso de los vasos sanguíneos tal vez no sea un signo de pronóstico precario si, por lo demás, el tumor se limita al parénquima renalEs posible que los resultados anómalos de las pruebas del funcionamiento hepático se deban a un síndrome. Estos son los dos tipos más comunes de carcinoma de células renales en adultos El carcinoma de células renales de tipo células claras, que representa el 80% de todos los carcinomas de células renales Carcinoma papilar de células renales, que representa del 10% al 15% de todos los carcinomas de células renales. Las personas que nacen con ciertos síndromes heredados pueden tener un mayor riesgo de presentar cáncer de riñón, como quienes tienen la enfermedad de von HippelLindau, el síndrome de BirtHoggDube, el complejo de esclerosis tuberosa, el carcinoma hereditario de células renales papilares o el cáncer renal familiar.

Carcinoma de celulas renales, de tipÓ claras, grado nuclear i de furhman, que destruye y remplaza medula renal, calices y pelvis renal, con infiltracion local de tejido adiposo perirenal y del hilioen este no se encontro glndula suprarenal ni ureter. O carcinoma de células renais cromófobo (CCRC) é um subtipo distinto de carcinoma de células renais e corresponde a cerca de 5% dos tumores a unique variant of renal cell carcinoma Michal M et al Ann Diagn Pathol 1998;2(3) Pigmented microcystic chromophobe cell carcinoma a unique variant of renal cell carcinoma. Renal lesions renal cysts and clear cell renal cell carcinoma (Clear cell renal cell carcinoma) Associated with bilateral or multiple renal cell carcinomas in 50% (eMedicine Von HippelLindau Syndrome) Other organs hemangioblastomas of cerebellum and retina, cysts of pancreas, liver.

O carcinoma de células claras é o tipo de câncer mais comum dos rins, sendo responsável por mais de 90% dos casos O câncer renal costuma ser uma doença assintomática nas fases iniciais, o que faz com que 1 em cada 4 pacientes só descubra o tumor em fases muito avançadas, já sem possibilidade de tratamento com intuito de cura. El carcinoma renal de células claras es el más frecuente y representa entre el 75 y el 85% de los casos Existen diferentes tipos de cáncer renal en función de la célula que lo origina Carcinoma de células claras Representa aproximadamente entre el 75 y el 85% de todos los tumores de riñón Presenta una modificación genética. Carcinoma renal de cÉlulas claras, variedad quÍstico macroscopÍa 2723 carcinoma renal de cÉlulas claras h&e aumento mediano 2724 metÁstasis Ósea de carcinoma renal de cÉlulas claras radiografÍa 2725 metÁstasis Ósea de carcinoma renal de cÉlulas claras h&e aumento mediano 2726 nefroblastoma o tumor de wilms.

Histologia, citogenética e genética 1) Carcinoma de células claras (70 a 80%) são grandes, com lesão unilateral, massa esférica de cor amarelada, tendência de invadir a veia renal, formando uma coluna solida de células, crescendo em direção a veia cava inferior e e átrio cardíaco direito É graduado quanto ao grau de anaplasia nuclear. El carcinoma de células renales representa un 8085% de todos los tumores malignos renales, típicamente se origina en la corteza renal (ver dibujo al comienzo) y presenta varios subtipos Carcinoma de células claras (80%) es el más frecuente Las células claras pueden tener un crecimiento que varía de lento (grado 1) hasta rápido (grado 4). Deng and Melamed, 12).

En definitiva, el carcinoma renal de células claras asociado a la enfermedad de von HippelLindau es un carcinoma de células claras macroscópicamente sólidoquístico, multifocal y bilateral, de bajo grado histológico, que se desarrolla en personas más jóvenes de lo habitual y que tiene mejor pronóstico que el tipo convencional. RESUMEN El carcinoma de células renales se caracteriza por su evolución impredecible Presentamos un caso clínico de aparición de metástasis cutánea de carcinoma renal de células claras con pronóstico ominoso, tras cinco años de tratamiento quirúrgico curativo del primario renal. Von HippelLindau syndrome Autosomal dominant, due to germline mutation of VHL gene at chromosome 3p25 ;.

El carcinoma papilar es el segundo renal en frecuencia Su pronóstico es mejor que el del más frecuente carcinoma de células claras, aunque no en casos avanzados al no existir terapias específicas Se presenta como un tumor periférico circunscrito (pequeño y homogéneamente sólido o mayor quísticohemorrágico) o como una lesión. RESUMEN El carcinoma de células renales se caracteriza por su evolución impredecible Presentamos un caso clínico de aparición de metástasis cutánea de carcinoma renal de células claras con pronóstico ominoso, tras cinco años de tratamiento quirúrgico curativo del primario renal. Estos son los dos tipos más comunes de carcinoma de células renales en adultos El carcinoma de células renales de tipo células claras, que representa el 80% de todos los carcinomas de células renales Carcinoma papilar de células renales, que representa del 10% al 15% de todos los carcinomas de células renales.

Infiltração de seio renal presente. Acude al servicio de urgencias por cuadro de 2 meses de evolución consistente en tos seca, pérdida de peso de 10 kg, astenia y anorexia, dolor en la región lumbar derecha y hematuria intermitente en el último mes archbronconeumolorg de peso y masa muscular) En los últimos estadios, los signos y síntomas del cáncer de riñón pueden comprender Sangre en la orina, la cual. Tomografía computarizada (TC) procedimiento para el que se toma una serie de imágenes detalladas del interior del cuerpo, como el tórax o el encéfalo, desde ángulos diferentesLas imágenes se crean con una computadora conectada a una máquina de rayos XSe inyecta un tinte en una vena o se ingiere a fin de que los órganos o los tejidos se destaquen de forma más clara.

5 Patologia CCR de Células Claras Clear Cell Renal Cell Carcinoma Clear cell RCC accounts for 70% to 80% of all RCCs, representing the garden variety of RCC formerly known as “conventional” RCC (Störkel et al, 1997;. Tan solo el CR de células claras responde a la inmunoterapia Vigilancia después de una nefrectomía radical o parcial o de tratamientos de ablación por carcinoma renal Introducción La vigilancia después del tratamiento de un CR permite al urólogo controlar e identificar. Diferenciação rabdóide presente em 5% da neoplasia Necrose presente em 30% da neoplasia;.

Deng and Melamed, 12). About Press Copyright Contact us Creators Advertise Developers Terms Privacy Policy & Safety How YouTube works Test new features Press Copyright Contact us Creators. Aproximadamente el 10 a 15% de los carcinomas renales primarios son carcinomas papilares (4) En comparación con el carcinoma renal de células claras, el carcinoma renal papilar tiene mejor comportamiento biológico (24) La primera descripción detallada de estos tumores apareció en 1976 (25).

Estudio histopatológico ETIOLOGÍA GENÉTICO 4% 98% Pérdida de brazo "p" del cromosoma 3 Tabaquismo Obesidad (mujeres) Hipertensión Sexo (M) Raza (Negra) Edad (6ta y 7a) Epidemiología Morfología Síndrome de VonHippelLindau 3p253 = VHL Brazo P cromosoma 3 Su segundo alelo no. Produto de nefrectomia radical esquerda * Carcinoma de células renais do tipo células claras, grau nuclear (Fuhrman/ISUP) 3 Tamanho da neoplasia 10X 6,0 X 5,0 cm Diferenciação sarcomatóide ausente;. Sarcomatoid Renal Cell Carcinoma An Examination of Underlying Histologic Subtype and an Analysis of Associations With Patient Outcome Am J Surg Pathol 04;.

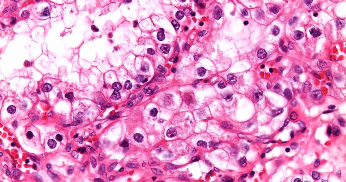
Los dos sistemas que se utilizan comúnmente son los criterios del Memorial Sloan Kettering Cancer Center (MSKCC) y los criterios del International Metastatic Renal Cell Carcinoma Database Consortium (IMDC) Estos dos sistemas usan 5 o 6 factores que al combinarlos identifican a los pacientes en grupos de riesgo bajo, intermedio o alto. Carcinoma de células renais é o câncer renal mais comum Os sintomas podem incluir hematúria, dor lombar, massa palpável e febre de origem indeterminada No entanto, os sintomas muitas vezes estão ausentes, assim geralmente suspeitase do diagnóstico com base em achados incidentais. Carcinoma renal de células claras 9 Carcinoma renal de células claras 10 Carcinoma renal de células claras 11 Histopatología 1 Red vascular FINA • Separa las células de carcinoma en alveólos 2 Patrón SOLIDOALVEOLAR DE CRECIMIENTO 3 Celulas claras • POR CONTENIDO DE GLUCÓGENO Y LÍPIDO 12 Fuhrman, Grado NUCLEAR Grado 1.

En los Estados Unidos se registran cada año unos 730 casos nuevos de carcinoma renal y otros tumores renales, y muertes (estimaciones de 19) por esta causa El carcinoma renal se produce con una frecuencia un poco mayor en varones (la relación de incidencias en varones y mujeres es de 32). Estudio renal multifásico con TCMD en plano axial y coronal que muestra el patrón de captación característico del CCR convencional (células claras), isodenso respecto el parénquima renal adyacente en el estudio basal (A), marcadamente hipervascular en fase corticomedular (B) y, en menor medida, en fase nefrográfica (C). Carcinoma renal Células claras, otros subtipos cromófilos (carcinoma papilar de células renales o túbulopapilar), con dos variedades a) eosinófilo y b) basófilo, cromófobos, con dos variedades a) típico y b) eosinófilo Carcinoma de los túbulos colectores de Bellini Oncocitoma renal.

El carcinoma de célula claras resultó predominante en la serie de pacientes (68,2 %) seguido del carcinoma papilar (22,7 %) y carcinoma de células cromófobas (9,1 %) Los pacientes con tumores grado III resultaron más frecuentes (45,5 %) seguido de aquellos con grado II (22,7 %). Carcinoma renal de células claras características morfológicas en una serie de casos del Hospital Médica Sur Clearcell renal cell carcinoma morphological characteristics Correspondencia Dr Fernando CanoGarcía Puente de Piedra, Núm 150, Col Toriello Guerra CP , Ciudad de México Tel 55 Ext 7227 Fax (52) 55. Epidemiología La incidencia del carcinoma de células claras varía según factores geográficos, demográficos y, en menor medida, hereditariosExisten algunos factores de riesgo conocidos para su desarrollo, sin embargo, la importancia de otros potenciales sigue siendo controvertida Los más comunes incluyen tabaquismo, factores genéticos y hemodiálisis.

•Precisión para extension al seno renal 98% (45 de 46) superior a la de la •Oncocitomas tienen ADCs menores que los de los carcinomas de celulas renales con un punto de corte igual o menor a 166 × 10 −3 mm 2 •Carcinoma de células claras tiene ADCs mayores que papilares o cromófobos. El carcinoma de células renales es el tipo más común de cáncer renal en los adultos y ocurre con mayor frecuencia en hombres de 60 a 70 años de edad No se conoce con exactitud su causa Los siguientes factores pueden incrementar el riesgo de cáncer renal. Tan solo el CR de células claras responde a la inmunoterapia Vigilancia después de una nefrectomía radical o parcial o de tratamientos de ablación por carcinoma renal Introducción La vigilancia después del tratamiento de un CR permite al urólogo controlar e identificar.

Introducción y Objetivos El carcinoma renal de células claras (CCR), es la neoplasia renal más frecuente Hasta el 30% de los casos presentan enfermedad sistémica, siendo las más usuales. Carcinoma de células renales Los cánceres renales son un grupo heterogéneo de neoplasias, en su mayor parte malignas(1) El carcinoma renal representa el 3 % del total de tumores en los adultos, siendo el de células claras el más frecuente (7080 %) Se caracteriza por. La inmunohistoquímica reveló marcación para CK AE1A, vimentina y CD10, mientras que CK7 y CK resultaron negativas Los hallazgos histopatológicos e inmunohistoquímicos se interpretaron como metástasis de carcinoma renal de células claras En el diagnóstico diferencial se incluyeron todos los tumores primarios de células claras.

Carcinoma renal de cÉlulas claras, variedad quÍstico macroscopÍa 2723 carcinoma renal de cÉlulas claras h&e aumento mediano 2724 metÁstasis Ósea de carcinoma renal de cÉlulas claras radiografÍa 2725 metÁstasis Ósea de carcinoma renal de cÉlulas claras h&e aumento mediano 2726 nefroblastoma o tumor de wilms. 3MurguíaPerez M, HernandezGonzález M, AlántaraVázquez A Carcinoma renal sarcomatoide Revisión de 7 casos con análisis de inmunoistoquímica. (nivel de evidencia 2a), enfermedad de Von Hippel Lindau, carcinoma papilar renal hereditario y otros tumores hereditarios (carcinoma renal familiar asociado a síndrome de BirtHoggDubé y leiomiomatosis hereditaria) Los tipos histológicos mas frecuentes son de células claras en 80 a 90%, papilar 15% cromófobo 45%, y.

Los dos sistemas que se utilizan comúnmente son los criterios del Memorial Sloan Kettering Cancer Center (MSKCC) y los criterios del International Metastatic Renal Cell Carcinoma Database Consortium (IMDC) Estos dos sistemas usan 5 o 6 factores que al combinarlos identifican a los pacientes en grupos de riesgo bajo, intermedio o alto. 2 y con el carcinoma renal de células claras (CRCC)6 Reportamos dos casos de CRATXp11 en mujeres de 25 y 45 años presentándose inicialmente una de ellas como. Carcinoma de celulas renales, de tipÓ claras, grado nuclear i de furhman, que destruye y remplaza medula renal, calices y pelvis renal, con infiltracion local de tejido adiposo perirenal y del hilioen este no se encontro glndula suprarenal ni ureter.

REVISIÓN Guía del carcinoma de células renales* Renal cell carcinoma guideline Börje Ljungberg a, Damian C Hanbury b, Marcus A Kuczyk c, Axel S Merseburger c, Peter FA Mulders d, JeanJacques Patard e, Ioanel C Sinescu f a Servicio de Cirugía y Ciencias Perioperatorias, Urología y Andrología, Universidad de Umea, Umea, Suecia b Servicio de Urología, Hospital de Lister, Mill. Patología Revista latinoamericana Volumen 51, núm 4, octubrediciembre, 13 239 Carcinoma renal asociado con translocación Xp11 Análisis de dos casos del adulto, uno de ellos con. Renal cell carcinomas (RCC) (historically also known as hypernephroma or Grawitz tumor) are primary malignant adenocarcinomas derived from the renal tubular epithelium and are the most common malignant renal tumor They usually occur in 5070year old patients and macroscopic hematuria occurs in 60% of the cases.

O carcinoma de células renais (CCR) é uma neoplasia que surge no parênquima renal/córtex O CCR de células claras representa a maioria (mais de 80%) das neoplasias renais primárias A incidência está aumentando junto com a migração de estádio para um diagnóstico em estádio mais inicial devido ao. Metástasis peritoneal secundaria a carcinoma renal a propósito de un caso DISCuSION La neoplasia de células renales constituye un grupo heterogéneo de tumores Su clasificación se basa en sus características morfológicas e histológicas El carcinoma de células clara representa el 60% de estas neoplasias, seguido. CARCINOMA RENAL DE CELULAS CLARAS ESPORÁDICO Es el carcinoma renal más frecuente y su incidencia está aumentando en los últimos años 9, 10 Aproximadamente el 70 a 75% de los cánceres renales son carcinomas de células claras esporádicos Afecta más frecuentemente a varones de raza negra y en general por encima de los 40 años de edad.

5 Patologia CCR de Células Claras Clear Cell Renal Cell Carcinoma Clear cell RCC accounts for 70% to 80% of all RCCs, representing the garden variety of RCC formerly known as “conventional” RCC (Störkel et al, 1997;. Liu L, Qian J, Singh H, et al Immunohistochemical analysis of chromophobe renal cell carcinoma, renal oncocytoma, and clear cell carcinoma an optimal and practical panel for differential diagnosis Arch Pathol Lab Med 07; Links Prando A, Prando D, Prando P Renal cell carcinoma unusual presentations. Estudio renal multifásico con TCMD en plano axial y coronal que muestra el patrón de captación característico del CCR convencional (células claras), isodenso respecto el parénquima renal adyacente en el estudio basal (A), marcadamente hipervascular en fase corticomedular (B) y, en menor medida, en fase nefrográfica (C).

Cancer De Rim Parte I Um Estudo Completo Sociedade Americana De De Cancer Seu Amigo Farmaceutico

Cancer De Rim Dr Jose Alexandre Pedrosa

Ovario Neoplasias 5ª Edicao 19 Sociedade Brasileira De Patologia

Open Journal Systems

Neoplasias

Neoplasias

Radiologia Brasileira Carcinoma Renal Sarcomatoide Achados De Imagem E Anatomopatologicos A Proposito De Um Caso

Valor Da Pax8 Pax2 Napsina A Anidrase Carbonica Ix E Imunomarcacao Claudina 4 Na Distincao Do Mesotelioma Epitelioide Pleural Do Carcinoma De Celulas Renais Metastatico Patologia Moderna

Http Www Iccr Cancer Org Getattachment Datasets Em Portugues Urinary Male Genital Invasive Carcinoma Of Renal Tubular Origin Iccr Kidney Nephrectomy 1st Edn V1 1 Bookmark Pt Pdf

Carcinomas Renales Con Celulas Claras

Ultraestructura De Los Tumores Epiteliales Renales

Q Tbn And9gcsnz9rh8k1t2anlskluooz7hw1bfa05pdsiujhgyksak2pnb9ls Usqp Cau

Metastasis Tardias En Tiroides Y Pancreas De Carcinoma Renal De Celulas Claras Presentacion De Dos Casos

Neoplasias

Http Www Apurologia Pt Acta 1 09 Car Ren Muc Pdf

Foto De Celula Clara Carcinoma De De Celulas Renais Ccrcc E Mais Fotos De Stock De Alta Magnificacao Istock

Variacao Patogenica No Gene Rad51c No Carcinoma Renal De Celulas Claras

Carcinoma De Celulas Renais Do Tipo Celulas Claras E Adenocarcinoma Mucinoso De Ureter Em Rim Nativo Associado A Carcinoma Espinocelular De Uretra Em Paciente Transplantado Renal Urominas

Pdf Renal Cell Carcinoma Histological Classification And Correlation With Imaging Findings

Cancer De Rim Dr Jose Alexandre Pedrosa

Carcinoma De Celulas Renales De Tipo Celulas Claras Cancer Sarcoma

Http Conitec Gov Br Images Artigos Publicacoes Ddt Carcinoma Celrenais 14 Pdf

Cancro Do Rim Cuf

Carcinoma De Celulas Renais Classificacao Histologica E Correlacao Com Metodos De Imagem

Carcinoma De Celulas Renais Classificacao Histologica E Correlacao Com Metodos De Imagem

Tipos E Subtipos De Cancer De Rim Clinica De Oncologia E Infusao De Medicamentos

Carcinoma Renal Cromofobo Con Patron Sarcomatoide En Mujer De 38 Anos Reporte De Un Caso Posteres Sociedad Espanola De Anatomia Patologica

Carcinoma Renal Lo Nuevo Recomendaciones Isup 12

Neupatimagem Unicamp

Cancer De Rim O Que E Vencer O Cancer Vencer O Cancer

Cancer De Rim Carcinoma De Celulas Renais Claras Md Saude

Valor Da Pax8 Pax2 Napsina A Anidrase Carbonica Ix E Imunomarcacao Claudina 4 Na Distincao Do Mesotelioma Epitelioide Pleural Do Carcinoma De Celulas Renais Metastatico Patologia Moderna

Carcinoma Sarcomatoide De Rinon Aportacion De Un Nuevo Caso Y Revision De La Bibliografia

Foto De Celula Clara Carcinoma De De Celulas Renais Ccrcc E Mais Fotos De Stock De Alta Magnificacao Istock

Carcinoma De Celulas Renais Classificacao Histologica E Correlacao Com Metodos De Imagem

Pathology Outlines Clear Cell

What Does Histology Mean Ikcc International Kidney Cancer Coalition

Cancer De Rim Parte I Um Estudo Completo Sociedade Americana De De Cancer Seu Amigo Farmaceutico

Carcinoma De Celulas Renais Classificacao Histologica E Correlacao Com Metodos De Imagem

Metastasis Cutanea De Carcinoma De Celulas Renales

Abordagens Terapeuticas No Carcinoma Renal Estado Da Arte Pdf Free Download

Http Www Iccr Cancer Org Getattachment Datasets Em Portugues Urinary Male Genital Invasive Carcinoma Of Renal Tubular Origin Iccr Kidney Nephrectomy 1st Edn V1 1 Bookmark Pt Pdf

Cancer Renal Sintomas Taxa De Sobrevida Tem Cura Ms

Http Fi Admin Bvsalud Org Document View 6ng9n

Pdfs Semanticscholar Org 17ae Ddc81f678d7a1f4d66eae7ecdcef1673 Pdf

Neoplasias Renales Pat Cc

Cancer De Rim Recaida Vencer O Cancer Vencer O Cancer

Metastasis Cutanea De Carcinoma De Celulas Renales

A Microscopic Features Of Tumor Nest Of Epithelial Cells And Some Download Scientific Diagram

Radiologia Brasileira Carcinoma Renal Sarcomatoide Achados De Imagem E Anatomopatologicos A Proposito De Um Caso

Carcinoma De Celulas Renais Classificacao Histologica E Correlacao Com Metodos De Imagem

Synchronous Renal Neoplasm Clear Cell Renal Cell Carcinoma And Papillary Urothelial Carcinoma In The Same Kidney Sciencedirect

Cancer Cancer De Rim Instituto Espaco De Vida

Pdf4pro Com File 4c9eb Pdf Rb V48n3 Pt 0100 3984 Rb 48 03 0166 Pdf Pdf

Rim Carcinoma Da Pelve Renal E Ureter 5ª Edicao 19 Sociedade Brasileira De Patologia

Carcinoma Sarcomatoide De Rinon Aportacion De Un Nuevo Caso Y Revision De La Bibliografia

Radiologia Brasileira Carcinoma Renal Sarcomatoide Achados De Imagem E Anatomopatologicos A Proposito De Um Caso

A Microscopic Features Of Tumor Nest Of Epithelial Cells And Some Download Scientific Diagram

Foto De Celula Clara Carcinoma De De Celulas Renais Ccrcc E Mais Fotos De Stock De Alta Magnificacao Istock

Carcinoma Papilar Renal De Celulas Claras Reporte De Dos Casos Avisos Y Convocatorias Sociedad Espanola De Anatomia Patologica

Http Www Patologia Es Volumen41 Vol41 Num3 Pdf patologia 41 3 41 03 02 Pdf

Radiologia Brasileira Carcinoma Renal Sarcomatoide Achados De Imagem E Anatomopatologicos A Proposito De Um Caso

Multifocal Renal Cancer Genetic Basis And Its Medical Relevance Clinical Cancer Research

Ppt Patologia E Biologia Molecular Do Cancer Renal Powerpoint Presentation Id

Iii Congreso Virtual Hispanoamericano De Anatomia Patologica

Carcinoma De Celulas Renais Classificacao Histologica E Correlacao Com Metodos De Imagem

Foto De Celula Clara Carcinoma De De Celulas Renais Ccrcc E Mais Fotos De Stock De Alta Magnificacao Istock

Neoplasias

Carcinoma De Celulas Renais Classificacao Histologica E Correlacao Com Metodos De Imagem

Http Coleciona Sus Bvs Br Lildbi Docsonline Get Php Id 1245

Carcinoma De Celulas Renais Ccr

Pathology Outlines Papillary

Carcinoma De Celulas Renais Classificacao Histologica E Correlacao Com Metodos De Imagem

Variacao Patogenica No Gene Rad51c No Carcinoma Renal De Celulas Claras

Neoplasias Oncociticas Renales Revision Critica De Un Problema Diagnostico No Resuelto

Q Tbn And9gcsuug6c2qbwp5fg2v2mjugpf Wnwyhd3fgt0xvnkwqktha 94ng Usqp Cau

Cancer De Rim Localizado

Variacao Patogenica No Gene Rad51c No Carcinoma Renal De Celulas Claras

Q Tbn And9gctcu4qcxqvw Xcivq Abq0twioonngjuw8uk1tcnhnteywzbhmc Usqp Cau

Renal Cell Carcinoma Wikipedia

Pdf A Rare Case Of Metastasis Of Renal Clear Cell Carcinoma To The Thyroid Gland Presenting As A Goiter Nodule Three Years After Nephrectomy

Www Anmm Org Mx Gmm 14 S2 Gmm 150 14 S2 156 160 Pdf

Http td Uftm Edu Br Bitstream Tede 31 1 Tese Osmarersouzame Pdf

Cancer Cancer De Rim Instituto Espaco De Vida

Renal Cell Carcinoma Wikipedia

Cancer Renal Clinica Integra

Neoplasias

Pdf Clasificacion De Vancouver De Las Neoplasias Renales

Pathology Outlines Clear Cell

Metastasis Cutanea De Carcinoma De Celulas Renales

Metastatic Renal Cell Carcinoma To The Thyroid Gland Heffess 02 Cancer Wiley Online Library

Cancer De Rim Localizado

Radiologia Brasileira Carcinoma Renal Sarcomatoide Achados De Imagem E Anatomopatologicos A Proposito De Um Caso

Cancro Do Rim Wikiwand

Carcinoma De Celulas Renais Classificacao Histologica E Correlacao Com Metodos De Imagem

Open Journal Systems

Cancer De Rim Carcinoma De Celulas Renais Claras Md Saude