Más de 999+ Imagen fresca

Fractura Por Estres

Q Tbn And9gcqmyfz1lvmtjmhatacdwear3atn X6rp4kxbruyrsa Usqp Cau

ᐅ Como Funcionan Las Fracturas Por Estres Como Funciona

Cuidado Todo Sobre Fractura De Huesos Por Estres

Vitamina D Y Fracturas Por Estres Medicina Personalizada Genomica

Fracturas Por Estres

Fractura Por Estres Sintomas Tratamiento Y Prevencion De Esta Lesion Comun En El Pie Podoactiva Lideres En Podologia

Las fracturas por sobrecarga a menudo no se pueden ver en las radiografías habituales que se toman poco después de que comienza el dolor Puede tomar varias semanas, y a veces más de un mes, que en las radiografías se pueda ver evidencia de fracturas por sobrecarga Gammagrafía ósea Unas horas antes de una gammagrafía ósea, recibirás una pequeña dosis de material radioactivo a través de una vía intravenosa.

Fractura por estres. Fracturas por estrés Los impactos repetidos de la carrera hacen que, poco a poco, se produzcan microroturas óseas, sobre todo en los huesos del pie (metatarsos) Cuando hay muchas de estas microroturas, se puede llegar a una fractura completa de hueso por estrés Es un proceso lento y progresivo que, en ocasiones, el corredor no nota por no. Tratamiento de una fractura por estrés Actualizado 10 de septiembre de Habitualmente, una fractura por estrés viene acompañada de dolor unido con la actividad, y por lo tanto, que cede con el reposo del miembro afectado. Se considera fractura a la falta de continuidad en una estructura ósea En la mayoría de los casos, estas fracturas son consecuencia de acciones traumáticas En el caso de las fracturas por estrés, el resultado viene dado por una reiteración prolongada y repetitiva de fuerzas o micro traumatismos de bajo.

El término fractura por estrés, con el cual se le conoce en la actualidad, fue usado por primera vez en un informe sobre fracturas en atletas realizado por M D Devas en 1958 Las fracturas por estrés son un tipo de lesión ósea que se produce como resultado de la ejecución repetitiva del mismo movimiento en una región específica". Las fracturas por estrés se desarrollan debido al uso excesivo y pueden ocurrir en cualquier parte de los huesos del cuerpo Los músculos que generalmente soportan el sistema esquelético pueden debilitarse o fatigarse con el tiempo debido a la presión excesiva aplicada;. FRACTURA POR ESTRES ¿QUÉ ES?.

Qué es la fractura por estrés Una fractura es cuando no hay continuidad en el tejido óseo La mayoría de los casos se producen por golpes o por traumatismos directos pero las fracturas por estrés son por una reiteración prolongada y repetida de fuerzas o micro traumatismos de bajo impacto Lo huesos están compuestos fundamentalmente por colágeno. Síntomas de una fractura por estrés Normalmente se comienza sintiendo un leve dolor mientras se realiza la actividad que suele desaparecer cuando se descansa Sin embargo, después de un par de semanas, aproximadamente, el dolor se vuelve continuo incluso cuando dejas de practicar el ejercicio, siendo habitual presentar signos de inflamación. Las fracturas por estrés no se deben a una lesión definida (p ej, caída, golpe), sino que se producen después de un estrés repetido y por uso excesivo que excede la capacidad de los músculos para absorber el estrés Las fracturas por estrés pueden involucrar el fémur, la pelvis o un miembro inferior Alrededor del 50% comprometen las piernas y, en particular, las diáfisis metatarsianas de los dedos.

Las fracturas por estrés suelen aparecer por repetir el mismo movimiento una y otra vez (por ejemplo, cuando alguien se entrena para un deporte) Fracturas por estrés (para Padres) Helen DeVos Children's Hospital. Las fracturas por estrés también son comunes en el talón (en el calcáneo), en la pierna (en la tibia o el peroné), y en el pie (en el escafoides tarsiano) Es una lesión muy frecuente en deportistas En función del deporte practicado las fracturas de estrés suelen ser más frecuentes en determinadas áreas anatómicas. LEE Dentistas explican cómo se causan las fracturas del los dientes El New York Times reportó que cada vez más personas están acudiendo al dentista por fracturas dentales provocadas por el bruxismo Esta condición ocurre cuando una persona aprieta la mandíbula con fuerza o rechina los dientes sin darse cuenta Esto puede ser provocado por el estrés, ansiedad y otros problemas de.

Por ejemplo, si tienes una fractura por estrés en el pie, tal vez puedas hacer ejercicio físico con el brazo y el hombro Esto te puede ayudar a mantenerte activo mientras te curas Después de unas pocas semanas, es posible que el profesional del cuidado de la salud te permita comenzar a incrementar lentamente la actividad. FRACTURA POR ESTRÉS 1 INTRODUCCIÓN Los Deportistas y las personas que realizan Actividad Física con frecuencia pueden llegar a sufrir una FRACTURA POR ESTRÉS La Fractura por Estrés, se diferencia de una Fractura (normalmente de Origen Traumático por contusión o golpe), en que normalmente su origen se debe a una REITERACIÓN PROLONGADA y REPETITIVA de. ¿Sabes lo que es una fractura por estrés?.

También conocidas como fracturas por sobrecarga, este tipo de lesiones son grietas microscópicas en los huesos, causadas por agotamiento Cuando los músculos están fatigados, estos reducen la. Las fracturas por estrés suelen aparecer por repetir el mismo movimiento una y otra vez (por ejemplo, cuando alguien se entrena para un deporte) También pueden aparecer por las actividades diarias en las personas con huesos débiles debido a una mala nutrición o a una afección médica ¿Cuáles son los signos y los síntomas de las fracturas por estrés?. La fractura por estrés se debe, en la mayoría de casos, a un exceso de carga de kilómetros sobre nuestro cuerpo En este caso, sobre los pies En este caso, sobre los pies “De aquí que a este tipo de fracturas se las llame fracturas por fatiga o sobrecarga”, nos cuenta el experto en biomecánica Albert Casas.

Estas fracturas pueden aparecer en distintas localizaciones, siendo la localización mas frecuente la fractura por estres de los huesos del pie También se suele denominar, fractura por fatiga Dentro de estos huesos, las zonas de más asiduidad en presencia de fracturas por estrés serían el cuello del segundo y tercer metatarso, ya que es. Las fracturas por estrés ocurren cuando usted usa su cuerpo en exceso Por lo tanto, es una lesión por uso excesivo Las fracturas por estrés pueden describirse mejor por ortopedistas que lo describen como una pequeña grieta en el hueso Las fracturas por estrés también se conocen bajo su otro nombre que es Fractura de la línea del cabello Algunas veces, también se lo conoce como Fractura de fisura. Cuando esto sucede, la tensión que normalmente se absorbería en el músculo se redirige al hueso, lo que resulta en una grieta.

También se puede tener dolor por la noche, al acostarse Causas Las fracturas por estrés son lesiones por exceso de uso Cuando se corre, los pies soportan una presión continua cada vez que el pie golpea el suelo Esto puede provocar la aparición de zonas debilitadas en el hueso, que luego llevan a las fracturas por estrés. Las fracturas por estrés del talón son una condición común de muchos atletas Las fracturas por estrés del talón también se llaman fracturas de estrés de Calcaneal ya que el nombre latino para el hueso del talón es calcáneo Este tipo de fractura por estrés es comúnmente inducido por el uso excesivo. Habitualmente, una fractura por estrés viene acompañada de dolor unido con la actividad, y por lo tanto, que cede con el reposo del miembro afectado Con la actividad continua y la consecuente fractura ósea, el dolor usualmente se vuelve constante Los síntomas de una fractura por estrés a menudo se presentan por dos a tres semanas, pero pueden llegar a complicarse hasta cinco semanas o más.

9( 1 ) P Lafforgue Fracturas por sobrecarga (fracturas por fatiga y fracturas por insuficiencia ósea) EMC Aparato Locomotor. Fractura por estrés, que es y cual es su tratamientoHola amigos, ¿Tienes una fractura pero no recuerdas haberte dado ningún golpe?. ¿Se puede romper un hueso.

La fractura por estrés metatarsiano es la ubicación más común para una fractura por estrés después de las fracturas por estrés tibial El segundo metatarso se fractura con mayor frecuencia en una fractura metatarsal, especialmente en aquellos individuos que tienen un segundo dedo del pie más largo en comparación con su dedo gordo del pie También ocurre comúnmente en aquellos individuos que sobrepronan usando el primer metatarso en una posición dorsiflexionada porque esto. 15 Gómez CLA y cols Fracturas por estrés en el atleta epidemiología y manejo wwwmedigraphicorgmx perióstica, esclerosis de las corticales y/o del canal medular o líneas sutiles que sugieran una fractura, especialmente en proyecciones laterales. Estas fracturas pueden aparecer en distintas localizaciones, siendo la localización mas frecuente la fractura por estres de los huesos del pie También se suele denominar, fractura por fatiga Dentro de estos huesos, las zonas de más asiduidad en presencia de fracturas por estrés serían el cuello del segundo y tercer metatarso, ya que es la zona que más carga recibe dentro del pie.

Se llama fractura por estrés a la lesión ósea causada por el sobreuso, pero no es ese el camino que quiero tomar Aquí y ahora llamaremos fractura por estrés a la quiebra anímica que. Fractura por estrés Síntomas, tratamiento y prevención de esta lesión común en el pie 19/02/18 Cuando pensamos en fracturas solemos asociar este concepto a un traumatismo fuerte y brusco que rompe el hueso Sin embargo, una fractura por estrés es una “grieta” en el hueso que se produce por microtraumatismos repetidos o una excesiva carga en la estructura ósea. También se puede tener dolor por la noche, al acostarse Causas Las fracturas por estrés son lesiones por exceso de uso Cuando se corre, los pies soportan una presión continua cada vez que el pie golpea el suelo Esto puede provocar la aparición de zonas debilitadas en el hueso, que luego llevan a las fracturas por estrés.

Metatarsalgia Fractura por estrés del metatarsiano por sobrecarga Las fracturas por estrés fueron descritas por Pauzat, médico militar francés, en 17, que observó signos dolorosos en soldados tras duras y largas marchas (fracturas de las trincheras, llamadas también «fracturas por sobrecarga o fatiga», que afectan principalmente al segundo, tercero y cuarto metatarsianos, pero. Por ejemplo, si tienes una fractura por estrés en el pie, tal vez puedas hacer ejercicio físico con el brazo y el hombro Esto te puede ayudar a mantenerte activo mientras te curas Después de unas pocas semanas, es posible que el profesional del cuidado de la salud te permita comenzar a incrementar lentamente la actividad. ¿Sabes lo que es una fractura por estrés?.

La fractura por estrés es una patología que produce síntomas banales, en un principio, como es un dolor en la columna lumbar de características facetarias, esto es un dolor durante la práctica deportiva y al realizar ciertos movimientos. En una fractura por estrés, se produce una grieta en el hueso después de que se ha debilitado sin suficiente descanso para reconstruir Tratamientos a seguir después de una fractura por estrés La fisioterapia puede ser fundamental en la recuperación de esta lesión, el primer paso para la recuperación es descansar Dependiendo de la ubicación y la gravedad de la fractura, esto puede incluir el uso de una bota o una carga sin peso por una cuestión de tiempo. Una fractura por estrés es una leve rajadura en un hueso Las fracturas por estrés suelen aparecer por repetir el mismo movimiento una y otra vez (por ejemplo, cuando alguien se entrena para un deporte).

Tipos de fracturas por estrés Las fracturas por estrés pueden catalogarse en dos grandes grupos de bajo riesgo y de alto riesgo Esta clasificación obedece a factores como la zona afectada, el potencial de complicaciones, tiempo de curación, presencia de pseudoartrosis y forma en que se suelda la fractura. ¿Se puede romper un hueso. Qué es la fractura por estrés Una fractura es cuando no hay continuidad en el tejido óseo La mayoría de los casos se producen por golpes o por traumatismos directos pero las fracturas por estrés son por una reiteración prolongada y repetida de fuerzas o micro traumatismos de bajo impacto Lo huesos están compuestos fundamentalmente por colágeno.

Habitualmente, una fractura por estrés viene acompañada de dolor unido con la actividad, y por lo tanto, que cede con el reposo del miembro afectado Con la actividad continua y la consecuente fractura ósea, el dolor usualmente se vuelve constante Los síntomas de una fractura por estrés a menudo se presentan por dos a tres semanas, pero pueden llegar a complicarse hasta cinco semanas o más. Fractura por estrés, que es y cual es su tratamientoHola amigos, ¿Tienes una fractura pero no recuerdas haberte dado ningún golpe?. Las fracturas por estrés o sobrecarga son pequeñas grietas en un hueso Son causadas por la fuerza repetitiva, a menudo por el uso excesivo, como saltar repetidamente de un lado a otro o correr largas distancias Las fracturas por sobrecarga son más comunes en los huesos que soportan el peso de la parte inferior de la pierna y el pie.

Las fracturas por estrés son lesiones por exceso de uso Cuando se corre, los pies soportan una presión continua cada vez que el pie golpea el suelo Esto puede provocar la aparición de zonas debilitadas en el hueso, que luego llevan a las fracturas por estrés. Fracturas de estrés mecánico en los huesos del pie en practicantes de deportes de mantenimiento B Carpintero, C Calle, H Jiménez et al, Rev Cubana Ortop Traumatol Internet 1995;. Las fracturas por estrés no se deben a una lesión definida (p ej, caída, golpe), sino que se producen después de un estrés repetido y por uso excesivo que excede la capacidad de los músculos para absorber el estrés Las fracturas por estrés pueden involucrar el fémur, la pelvis o un miembro inferior.

Tratamiento de una fractura por estrés Actualizado 10 de septiembre de Habitualmente, una fractura por estrés viene acompañada de dolor unido con la actividad, y por lo tanto, que cede con el reposo del miembro afectado. Síntomas de una fractura por estrés Normalmente se comienza sintiendo un leve dolor mientras se realiza la actividad que suele desaparecer cuando se descansa Sin embargo, después de un par de semanas, aproximadamente, el dolor se vuelve continuo incluso cuando dejas de practicar el ejercicio, siendo habitual presentar signos de inflamación. Por lo general, se presentan más frecuentemente en los pies Las fracturas por estrés suelen desarrollarse en la tibia (hueso de la espinilla), el peroné (huesos inferiores de la pierna), los metatarsos (huesos de los pies) y el navicular (huesos en la parte media del pie).

Una fractura por estrés es una pequeña rotura en el hueso En una fractura por estrés, se desarrolla una fisura delgada debido a una fuerza repetitiva, normalmente causada por el sobreuso La mayoría de las fracturas por estrés ocurren en los huesos del pie y la parte inferior de la pierna, que llevan el peso del cuerpo. En este vídeo lo explicamos de manera sencilla para que sepas lo básico en relación al tema Las FRACTURAS POR ESTR. Las fracturas por estrés son lesiones óseas por sobreuso que provocan una solución de continuidad en la corteza o cortical del hueso (alteración de la capa externa del hueso) En los huesos existen reacciones al estrés, que van desde una reacción de estrés menor hasta la fractura Para que esto no ocurra, al hacer actividad física debiera existir un balance entre el estrés o trauma repetitivo al que se encuentra sometido el hueso y su capacidad remodeladora.

Las fracturas por estrés suelen aparecer por repetir el mismo movimiento una y otra vez (por ejemplo, cuando alguien se entrena para un deporte) También pueden aparecer por las actividades diarias en las personas con huesos débiles debido a una mala nutrición o a una afección médica. La fractura por estrés ocurre más gradualmente, durante un período de tiempo, debido al uso excesivo o impacto / trauma repetitivo en el hueso Las fracturas por estrés usualmente involucran el segundo, tercer o cuarto hueso del metatarso La fractura por estrés metatarsiano es la ubicación más común para una fractura por estrés. Qué son las fracturas por estrés Actualizado 10 de septiembre de Se considera fractura a la falta de continuidad en una estructura ósea En la mayoría de los casos, estas fracturas son consecuencia de acciones traumáticas En el caso de las fracturas por estrés, el resultado viene dado por una reiteración prolongada y repetitiva de fuerzas o micro traumatismos de bajo impacto.

Tipos de fracturas por estrés Las fracturas por estrés pueden catalogarse en dos grandes grupos de bajo riesgo y de alto riesgo Esta clasificación obedece a factores como la zona afectada, el potencial de complicaciones, tiempo de curación, presencia de pseudoartrosis y forma en que se suelda la fractura. Definición Las fracturas por estrés son lesiones óseas por sobreuso que provocan una solución de continuidad en la corteza o cortical del hueso (alteración de la capa externa del hueso) En los huesos existen reacciones al estrés, que van desde una reacción de estrés menor hasta la fractura. Una fractura por estrés es una leve rajadura en un hueso Las fracturas por estrés suelen aparecer por repetir el mismo movimiento una y otra vez (por ejemplo, cuando alguien se entrena para un deporte).

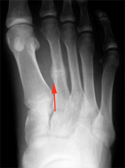
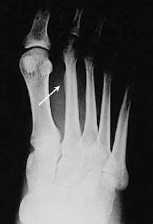
Una persona con una fractura por estrés podría notar lo siguiente. Fractura de estrés 2º metatarsiano Observa el intento de reparación creado alrededor del hueso estresado y fracturado 2º metatarsiano del pie Es la fractura de estrés más conocida y frecuente El metatarsiano es un hueso del pie (El equivalente al metacarpiano de la mano). Descrita por primera vez por el médico de Prusia Breithaupt en 1855, la fractura por estrés es muy común en los reclutas militares y atletas La lesión generalmente afecta a las extremidades inferiores, pero también puede aparecer en las costillas y las extremidades superiores Los lugares más comunes para esta lesión son las tibia, el peroné, metatarsos.

En este vídeo lo explicamos de manera sencilla para que sepas lo básico en relación al tema Las FRACTURAS POR ESTR. Una fractura es la falta de continuidad de una estructura ósea, es decir, una rotura en el hueso Ahora bien, si ésta se da “por estrés”, entonces se desarrolla una lesión pequeña y delgada debido a una fuerza repetitiva, normalmente causada por el sobreuso en la zona afectada Las fracturas por estrés son, por definición, lesiones óseas por sobreuso que generan una solución de continuidad en la cortical del hueso. Las fracturas por estrés no se deben a una lesión definida (p ej, caída, golpe), sino que se producen después de un estrés repetido y por uso excesivo que excede la capacidad de los músculos para absorber el estrés Las fracturas por estrés pueden involucrar el fémur, la pelvis o un miembro inferior.

Por ejemplo, si tienes una fractura por estrés en el pie, tal vez puedas hacer ejercicio físico con el brazo y el hombro Esto te puede ayudar a mantenerte activo mientras te curas Después de unas pocas semanas, es posible que el profesional del cuidado de la salud te permita comenzar a incrementar lentamente la actividad. Las fracturas por estrés suelen aparecer por repetir el mismo movimiento una y otra vez (por ejemplo, cuando alguien se entrena para un deporte) También pueden aparecer por las actividades diarias en las personas con huesos débiles debido a una mala nutrición o a una afección médica ¿Cuáles son los signos y los síntomas de las fracturas por estrés?. Las fracturas por estrés suelen aparecer por repetir el mismo movimiento una y otra vez (por ejemplo, cuando alguien se entrena para un deporte) También pueden aparecer por las actividades diarias en las personas con huesos débiles debido a una mala nutrición o a una afección médica ¿Cuáles son los signos y los síntomas de las fracturas por estrés?.

Fractura de estrés 2º metatarsiano Observa el intento de reparación creado alrededor del hueso estresado y fracturado 2º metatarsiano del pie Es la fractura de estrés más conocida y frecuente El metatarsiano es un hueso del pie (El equivalente al metacarpiano de la mano).

Fractura Por Estres Sintomas Tratamiento Y Prevencion De Esta Lesion Comun En El Pie Podoactiva Lideres En Podologia

Fracturas Por Estres

Www Medigraphic Com Pdfs Orthotips Ot 16 Ot161c Pdf

Fractura Por Estres De Los Metatarsianos

Revistas Ucm Es Index Php Ricp Article Download

Fracturas Por Estres

Fractura Por Estres Del Metatarsiano Doctor Villanueva

A Mi Hijo Le Duele En La Tibia Que Le Puede Pasar

Documento Sin Titulo

Tienes Este Sintoma Cuidado Con Las Fracturas Por Estres Marathon Ranking

Fractura De Estres Por Que Ocurre Salud Savia

Fractura De Estres Del Femur

Fractura De Estres En Deportistas Que Es Neolastic Protectores Elasticos

Diagnostico De Una Fractura Por Estres

Fracturas Por Estres En Deportistas Gesomeb

Fracturas Por Estres Que Son Ejercicio Y Deporte

Fracturas Por Estres Dr Vilchez

Fractura Por Estres Que Es Y Cual Es Su Tratamiento Youtube

Las Fracturas Por Estres En Los Pies Clinica Del Pie Bapident

Fractura De Estres En Deportistas Itramed

Fracturas Por Estres Runners Amateur Global

Equipo De Tobillo Y Pie Del Ijs Instituto Dr Jaime Slullitel Publicaciones Pseudoartrosis De Fractura Por Estres De La Base Del Cuarto Metatarsiano Asociada A Metatarso Aducto Reporte De Un Caso

Fracturas Por Sobrecarga Fracturas Por Fatiga Y Fracturas Por Insuficiencia Osea Sciencedirect

1

Victor Del Corral Dice Adios A Kona Por Una Fractura Por Estres Del Calcaneo Planeta Triatlon

Fractura De Estres Tibial

Fractura Por Estres Del Metatarsiano Doctor Villanueva

A Mis Cuarenta Y Lesiones Fractura Por Estres En Los Corredores

Fracturas Por Sobrecarga Del Cuello Femoral El Paso S Injury Doctors 915 850 0900

Que Es Una Fractura Por Estres Causada Por El Entrenamiento

Imagen En Ortopedia

1

Tratamiento De Una Fractura Por Estres Ejercicio Y Deporte

Www Medigraphic Com Pdfs Orthotips Ot 16 Ot161c Pdf

Si Estas Comenzando A Hacer Ejercicio Evita Las Fracturas Por Estres

Fracturas Por Estres De La Tibia Rehabilitacion Premium Madrid

A Las Corridas Fracturas Por Estres

Fracturas Por Estres Aqui Hay Pelotas

Fractura Por Estres Que Es Y Como Recuperarse

Fractura De Estres De Cadera Clinica Cemtro

Www Medigraphic Com Pdfs Orthotips Ot 16 Ot161c Pdf

Fracturas De Estres Que Es La Fractura Por Estres Tratamiento De Fractura Por Estres

Edema Oseo Y Fractura Por Estres 3 Claves Para Prevenirlo

Fractura Por Estres De La Tibia Pierna En Atleta Un Corredor Fotos Retratos Imagenes Y Fotografia De Archivo Libres De Derecho Image

Fracturas Por Estres De La Tibia Y El Metatarso Practicarunning

Fracturas Por Estres Como Evitarlas Sintomas Y Tratamiento

Fractura Por Estres Carlos Lopez Cubas

Fracturas Por Estres

Todo Lo Que Necesita Saber Si Sospecha Una Fractura Por Estres En El Pie Blog De Old Peak

Fracturas Por Estres Una Lesion Tipica Del Corredor De Largas Distancias

Todo Lo Que Necesita Saber Si Sospecha Una Fractura Por Estres En El Pie Blog De Old Peak

Fracturas Por Estres En El Deporte Sintomas Diagnostico Y Tratamiento Youtube

Fractura Por Estres Clinica Martin Gomez Traumatologos

Fracturas Por Estres De La Tibia Clinica Vegasalud

Fracturas Por Estres Del Calcaneo Fisioonline

Q Tbn And9gcrgcajmjtnutjaeac2lmdrnswn8lzysw Hk3v7z2kcn06rwo8io Usqp Cau

Fracturas Por Estres Fisioonline

Fractura Por Estres De La Tibia

Fractura De Estres Hueso Estresado Eugenia Miranda Traumatologo Infantil Tarragona

Fractura De Estres De Cadera Clinica Cemtro

Sintomas De Una Fractura Por Estres Y Diagnostico Ejercicio Y Deporte

Fractura De Estres En Metatarsos A Proposito De Dos Casos

Que Es Una Fractura Por Estres Dr Santa Coloma

Tienes Este Sintoma Cuidado Con Las Fracturas Por Estres Marathon Ranking

Fracturas Por Estres O Sobrecarga Tratamiento

Fracturas Por Estres

Fracturas Por Estres Mariavillalbaquiromasaje

Fracturas Por Tension Healthychildren Org

Fracturas Por Estres Aeld

Fractura De Estres Del Deportista San Jose Sport Clinic Salud Para El Deporte

Diferencias Entre Fascitis Plantar Y Fractura Por Estres Terapiadefrio Com

Te Gusta Hacer Ejercicio Aqui 5 Consejos Para Evitar Fracturas Por Estres Clikisalud Net Fundacion Carlos Slim

Fracturas Por Estres

Fracturas De Estres En La Pelvis Reemo

Fracturas Por Sobrecarga Fracturas Por Fatiga Y Fracturas Por Insuficiencia Osea Sciencedirect

Fractura De Estres En Deportistas Itramed

Doctor Arregui Edema Oseo Y Fractura Por Estres

Fractura Por Sobrecarga Cancer Care Of Western New York

Yo No Corro Vuelo Fractura Por Estres Causas Y Tratamiento

Fracturas Por Estres Monografias Com

Fractura Por Estres En El Pie Sintomas Tratamiento Y Prevencion Cmd Sport

Fracturas Por Estres Fisioonline

Que Son Las Fracturas De Huesos Por Estres Y Quienes Son Mas Propensos A Sufrirlas c News Mundo

Clinica Grimalt Llinas Y Sus Profesionales Dan Los Mejores Consejos Para La Comun Fractura Por Estres Notas De Prensa

Pautas Para Prevenir La Fractura Por Estres Camde

Fractura Por Estres Ecured

Fractura Por Estres De Un Metatarsiano

Fractura Por Estres Donde Ocurren Principalmente Mejor Con Salud

Que Son Las Fracturas Por Estres Kabrerix

Fracturas Por Sobrecarga Sintomas Y Causas Mayo Clinic

Las Fracturas De Huesos Por Estres Mexicowebcast

Fracturas Por Estres O Tambien Llamada Fractura Por Fatiga

Como Tratar Una Fractura Por Estres Del Pie Youtube

Fracturas Del Pie Por Fatiga Traumatismos Y Envenenamientos Manual Msd Version Para Publico General

Fracturas Por Estres Para Adolecentes Hospital Sant Joan De Deu

Fracturas De La Base Del Quinto Metatarsiano Lesiones Y Envenenamientos Manual Msd Version Para Profesionales

Fracturas Por Estres Causas Y Tratamiento Tips Tratamientos Causas Y Prevencion

Fractura Tibial Bilateral Por Fatiga En Mujer No Deportista A Proposito De Un Caso Medicina De Familia Semergen